Dentocare Banner 1
previous arrow
next arrow
Dentocare Banner mobile 1
previous arrow
next arrow

Best Dental Clinic in Awas Vikas Colony, Agra

Dentocare - The Tooth Xpert

Welcome to Dentocare – The Tooth Xpert, where your oral health is in expert hands. Under the guidance of Dr. Shatakshi Rastogi, BDS, MDS (Endodontist), patients receive exceptional dental care rooted in precision and compassion.

Not only has Dr. Rastogi secured top positions in several national and international academic competitions, but she has also contributed significantly to reputed dental journals. Moreover, her dedication to research and innovation reflects a constant pursuit of excellence in modern dentistry.

Specializing in advanced root canal treatments, cosmetic dentistry, and complete oral care solutions, she ensures that every treatment plan is tailored to meet individual needs. Furthermore, her gentle approach combined with meticulous attention to detail helps patients experience stress-free and comfortable dental procedures.

Therefore, if you are looking for trusted dental services, Dentocare – The Tooth Xpert stands out as the Best Dental Clinic in Awas Vikas Colony, Agra. Here, you can expect a blend of expertise, innovation, and compassionate care

Our Facilities

Dental Services

Why Choose Us

True Healthcare For Your Family

At Dentocare – The Tooth Xpert, under the expert care of Dr. Shatakshi Rastogi, we provide true healthcare for your family with advanced treatments, compassionate care, and trusted dental solutions.

Friendly Atmosphere

Friendly care, expert hands, smiles bloom at our dental clinic.

Professional Staff

Experienced, skilled, compassionate team ensuring top-quality dental care always.

Affordable Prices

Dentocare – The Tooth Xpert by Dr. Shatakshi Rastogi ensures healthy smiles.

Emergency Care

Emergency dental care for pain relief, trauma, swelling—available 24/7 now!

Meet Our Doctor

Dr. Shatakshi Rastogi

Dr. Shatakshi Rastogi, BDS, MDS (Endodontist), is a highly skilled dental professional recognized for her precision, expertise, and patient-focused care. Her specialization covers advanced root canal treatments, cosmetic dentistry, and complete oral healthcare solutions designed to meet individual needs.

Thanks to her strong academic background, she has achieved top positions in several national and international academic competitions. In addition, her research publications in reputed dental journals highlight her dedication to innovation and continuous learning in dentistry.

At Dentocare – The Tooth Xpert, Dr. Rastogi emphasizes personalized treatments that balance both functionality and aesthetics. Moreover, her gentle approach, meticulous attention to detail, and commitment to creating a stress-free environment have helped her build lasting trust with patients across all age groups.

Dr. Shatakshi Rastogi

BDS, MDS (Endodontist)

0 K

Happy Customers

0 %

Satisfaction

0 +

Years of experience

0 +

Awards Won

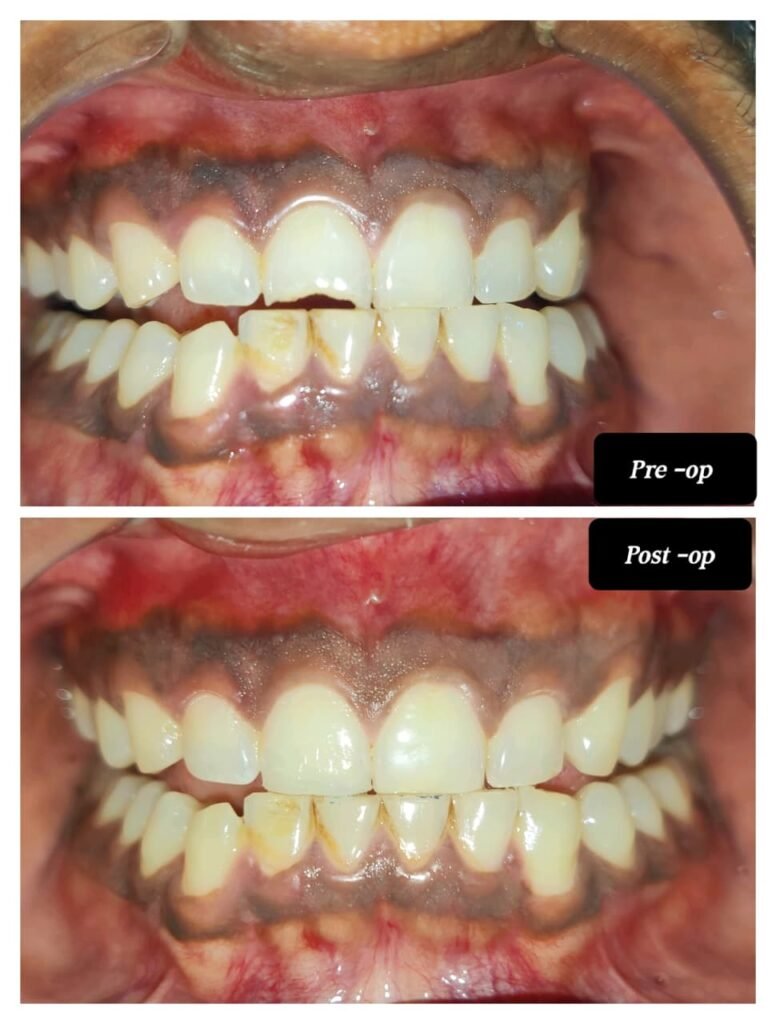
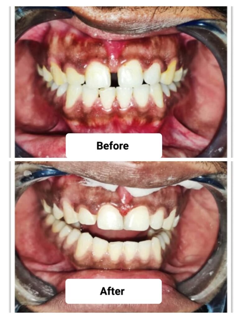
Before After Gallery

Patients Testimonials

What Our Patients Say

Our Gallery

Dentocare - The Tooth Xpert Gallery

Book Appointment

Dr. Shatakshi Rastogi at her Dentocare Agra clinic